¿Cuál es el rol del cerebro (y del estado de ánimo) en nuestra respuesta inmune?
"He pasado los últimos 30 años preocupándome por cómo [...]
El cannabis medicinal: un negocio en auge en Colombia pese al estigma y los recelos
A una hora de Bogotá, en Tocancipá, en [...]
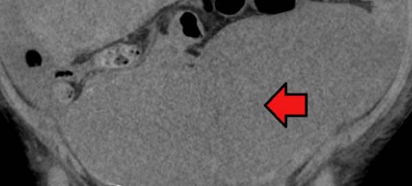
Los síntomas “sutiles” de cáncer de colon que podrían salvar vidas por el diagnóstico temprano
Según el informe Las cifras del cáncer en España 2019 realizado [...]
La pandemia aumentó la depresión en trabajadores de la salud en A. Latina
En Colombia, el 2,6 por ciento de los trabajadores [...]
La música relacionada con experiencias vitales activa partes del cerebro diferentes a las involucradas en el proceso natural de recordar
Investigadores del centro de investigación de la Fundación Pasqual [...]
El cannabis medicinal podría ayudar en los problemas de comportamiento de las personas con autismo
En un estudio con 188 niños, más del 80% [...]



















