Relacionan el consumo de ultraprocesados con un mayor riesgo de cáncer colorrectal en los hombres
Un estudio ha detectado que los varones que más [...]
Una prótesis de memoria para ayudar a las personas con daño cerebral
Una investigación reciente señala que, de esta forma, es [...]
Día Mundial del Alzhéimer: por qué quienes tienen la enfermedad se comunican peor (y cómo mejorarlo)
Hace tres años que a Luis le diagnosticaron enfermedad [...]
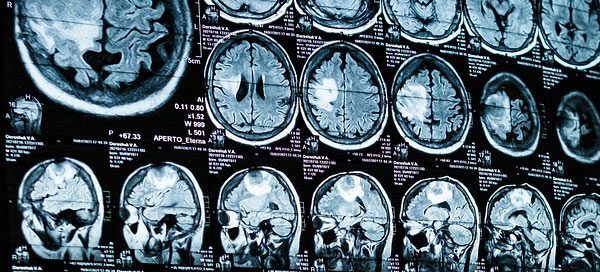
Crean un aparato portátil de resonancia magnética que facilita el diagnóstico por la imagen
La resonancia magnética (RM) es la herramienta de [...]
El consumo de hongos reduce el riesgo de padecer cáncer.
La próxima vez que prepare una ensalada, tal vez [...]
Córneas de proteína de cerdo para devolver la vista a personas ciegas
El implante podría ofrecer a las personas con discapacidad [...]



















